TEL078-803-8615

FAX078-803-8610

診療メニュー 親知らず専門ページ オンライン予約

お口の粘膜の
病気の治療

大学病院や市民病院の口腔外科でしか対応できない粘膜の病気も対応します。

 お口の粘膜は消化器官の入り口として食物や飲み物、お酒、タバコの煙などによって刺激を受けます。その結果、粘膜に炎症が起こったり、白い斑点状の変化が起こったりする場合があります。また、全身的な病気の一症状がお口の中に現れる場合もあります。

 口腔外科専門医の知識と技術を生かし、お口の粘膜の病気の診断、治療を行います。

 かかりつけの医療機関と連携を取り、治療をしていきます。

 ①お口の中の粘膜の病気は様々なものがあります。お口の粘膜特有の病気から全身的な病気の一症状が口の中に出ている場合もあります。粘膜の病気の診断には外科的に病変の一部を採取して組織検査を行います。

 ②組織検査の結果、特殊な病気や良性でない場合、全ての病気の範囲を切除するには全身麻酔が必要な場合は、大学病院などの高次の医療機関に紹介いたします。また、内科や皮膚科に治療を依頼する場合もあります。 



症例 舌の白斑を診断した場合

正元のコメント

舌に白い部分があるとのことで受診されました。舌の左側面に白い斑がありました。白板症を疑い組織検査を行いました。結果は白板症(low grade)でした。

患者さまの感想

インターネットを調べたりして癌ではないかと不安でしたが、手術後の結果を聞いて安心しました。

処置時間と費用

処置時間:約30分(麻酔時間含め)

費用:約5000円(組織採取、病理検査費用含む、3割負担の場合)

リスクと副作用

術後に腫れや痛みが生じます。白板症の場合は癌化する場合があるので定期的な診察が必要です。



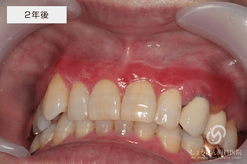
症例 長期経過を経て類天疱瘡を診断した場合

正元のコメント

歯茎に炎症があり口腔扁平苔癬の診断にて経過観察を行なっていたところ、初診より2年経過した後に歯茎に水膨れが生じたので、組織検査と血液検査を行なったところ、結果は類天疱瘡 (膠原病の一種、自己免疫疾患)でした。その後、皮膚科に依頼し治療を行なっていただき、歯肉の炎症はほぼ消失しました。長期的な経過の中で診断ができました。

患者さまの感想

なかなか歯茎の痛みが消えず心配していました。原因がわかって治療して症状が消えたので、すごく感謝しています。

処置時間と費用

費用:約6000円(組織採取、血液検査、病理検査費用含む、3割負担の場合、検査時の費用のみ)

リスクと副作用

術後に腫れや痛みが生じます。類天疱瘡は定期的な診察、治療が必要です。

ご相談ダイアルタップして相談する 078-803-8615 火曜から金曜 9:30-13:00 14:30-19:00 土曜は17:00までとなります。 オンライン予約 オンラインでのご予約は24時間対応しております。
曜日
午前 09:30 - 13:00
午後 14:30 - 19:00
土曜日の午後診療は14:30 ~ 17:00となります。
曜日 午前09:30 - 13:00 午後14:30 - 19:00
土曜日の午後診療は14:30 ~ 17:00となります。
口腔外科とは 口腔外科専門医とは 診療メニュー

口腔外科とは?

口腔外科用マイクロスコープ ミラー 歯

 口腔(口のなか)、顎(上下のあご)、顔面ならびにその隣接組織に現れる
先天性および後天性の疾患を扱う診療科です。

 この領域には歯が原因となるものから癌までさまざまな疾患が発生します。また交通事故やスポーツなどの外傷、顎変形症ならびに唾液腺疾患などの外科的疾患のほかにも、口腔粘膜疾患、神経性疾患、口臭症などの内科的疾患も含まれます。(日本口腔外科学会ホームページより)

 口腔外科は、歯科が治療対象としている「歯」とそれ以外のお口の周りの領域を診療する診療科です。

 しょうげん歯科医院は気軽にかかれる口腔外科として神戸・三宮で2020年に開院いたしました。

歯科と口腔外科の違い

歯科(一般的な歯科医院)
主に虫歯、歯周病、咬み合わせなど歯とその周囲組織が治療対象
口腔外科
主に虫歯、歯周病以外のお口の中とその周りの組織・器官の病気が治療対象 例)親知らず抜歯などのお口の外科処置、顎関節症、顎骨骨折、口腔がんなどの治療

口腔外科専門医とは?

 口腔外科専門医は医療法に定める広告か可能な医師等の専門性に関する資格の一つで、取得のためには、歯科医師免許取得後、 臨床研修を修了してから6年以上、学会認定が認定する研修施設に所属し、 口腔外科に係わる診療と学術的活動に従事して一定以上の実績を有することが必要条件となります。

 口腔外科専門医は、資格取得後も5年ごとに更新する義務があり、継続的に学識を高め、診療技能の向上に励むことが求められます。

詳しくは下記リンクより口腔外科学会の専門医ページをご覧ください。

口腔外科学会・専門医のページ

院長紹介

院長 口腔外科専門医 正元 洋介
院長 口腔外科専門医正元 洋介

 院長は大阪大学歯学部を卒業後、大阪大学歯学部第一口腔外科に13年間在籍し、 親知らずの抜歯などの外来小手術、お口の粘膜疾患や顎関節症などの一般口腔外科診療、口唇口蓋裂、顎顔面骨折、口腔がん、顎変形症の手術など、数多くの経験を積んで口腔外科専門医を取得しました。

 大学病院、病院歯科口腔外科と一般歯科医院の間に位置し、気軽にかかれる口腔外科の診療所として、 皆様の健康をお口を通じて守っていきたいという思いをもとに、神戸の中心地である三宮に「しょうげん歯科医院」を開院いたしました。

口腔外科の手術実績はこちら
2020年 2021年 2022年 2023年 2024年
下顎埋伏智歯抜歯(水平、完全) 10件 38件 67件 72件 53件
上顎完全埋伏歯抜歯 3件 8件 25件 16件 20件
難抜歯(上下顎智歯含む) 8件 30件 55件 64件 73件
ヘミセクション 0件 1件 1件 1件 3件
歯根のう胞摘出術 2件 5件 2件 5件 3件
歯根端切除術 3件 0件 1件 3件 0件
上顎洞口腔瘻孔閉鎖術 0件 0件 0件 0件 1件
歯の移植術 2件 1件 0件 0件 0件
顎骨腫瘍摘出術 0件 0件 0件 1件 0件
口唇粘液嚢胞摘出術 1件 1件 5件 3件 6件
舌腫瘍摘出術 0件 0件 1件 2件 1件
頬粘膜腫瘍摘出術 0件 0件 0件 0件 1件
ガマ腫開窓術 0件 0件 1件 1件 0件
小帯形成術 0件 0件 1件 1件 2件
口腔膿瘍切開 3件 6件 9件 6件 5件
下顎隆起形成術 0件 2件 3件 4件 1件
口蓋隆起形成術 0件 0件 0件 1件 0件
歯科インプラント摘出術 0件 0件 0件 1件 2件
顎骨内異物除去術 0件 0件 0件 0件 1件
顎関節授動術(徒手的) 2件 2件 11件 7件 12件
創傷処置(けがの縫合) 2件 1件 0件 0件 0件