親知らず専門ページ
このページは三宮の口腔外科、しょうげん歯科医院院長による親知らずに関する専門ページです。 抜歯からフォローの仕方まで細かく掲載しておりますのでお時間のある方は是非一度ごらんください。
親知らず専門ページ目次
親知らず専門ページ目次
- 親知らずは何歳になっても生えてくることがあります
- 親知らずによる悪影響
- 次のような症状がある方は早期の受診をお勧めいたします。
- 親知らずの抜歯のリスク
- 当院での親知らずの抜歯について
- 親知らずの診療の流れ
- 親知らずの抜歯の流れ
- 親知らずの抜歯後について
- 親知らずの抜歯の料金
- 親知らずの抜歯の症例
- 妊娠を考えておられる方へ
- 妊娠中になりやすいお口のトラブル
- 妊婦様からのよくあるご質問
親知らずは何歳になっても生えてくることがあります
親知らずとは、永久歯が生えそろった後、最後に生えてくる一番奥の歯(真ん中から数えて8番の歯)のことです。他の歯と同様にまっすぐに生えて咬み合わせに参加し、周囲にしっかりした歯ぐきがあれば、抜歯しなくても問題ありません。
しかし、私たち現代人は古代人と比べ顎が小さくなっており、親知らずが適切に生えるスペースが足りないことが多く、その結果、親知らずが斜めに生えてきたり、埋まったままの生えない状態になっていることがあります。
では親知らずが適切に生えないと、どのような影響が生じるのでしょうか?
親知らずによる悪影響
歯磨きによる清掃が困難であるため、プラークを落としきれず、親知らずそのものや隣接する歯にむし歯や歯周病が生じる。
親知らずが本来とは異なった方向に生えることで、周囲の組織を傷つけて炎症を招く。
噛み合わせを乱す可能性がある。
歯肉炎が起こりやすい妊娠時、糖尿病などの免疫能が低下している方では、親知らずをそのままにしておくと、親知らず周囲の炎症のさらなる悪化や病気そのももの悪化を招く。
こういうことが起こってしまった場合
抜歯が必要になります。
できれば親知らずによる影響が起こる前に、親知らずを抜いておくことでリスクを回避することができます。
次のような症状がある方は早期の受診をお勧めいたします
1,親知らずが生えている、または埋まっている状態で痛みがある方
親知らず周囲の歯茎に炎症があるか、親知らず自体に虫歯による痛みの場合があります。放っておくと頬に膿がたまりがひどい痛みが生じたり、口が開きにくくなることがあります。
2,痛みがなくても親知らずが斜めに生えている方
歯ブラシでの汚れの清掃が難しいため、隣の歯のむし歯や歯周病を引き起こすリスクが高いです。
3,時々親知らずの辺りに痛みが生じるが、数日でおさまる方
このような状態の方は多いと思いですが、親知らずの周りの炎症による痛みであることが多く、急性化して非常に痛くなったり腫れてしまう可能性があるため、早期に受診されることをお勧めします。
4,親知らずの周りの歯肉が腫れている方
親知らず周囲の清掃がうまくできていない可能性があります。放っておくと腫れや痛みがひどくなるかもしれません。
5,矯正治療中または矯正治療を考えておられる方
歯列矯正を始めてから親知らずが生えてきた場合、せっかく矯正した歯が台無しになる可能性があります。また、矯正治療は見かけの歯並びだけでなく、清掃性を高め歯を長持ちさせる治療でもあります。親知らずの存在は矯正治療に対してデメリットが多く、矯正前の抜歯をお勧めします。
親知らずの抜歯のリスク
①普通の抜歯に比べて抜歯後の腫れや痛みが大きい。
当院での親知らずの抜歯について

当院の抜歯は
1,抜歯前のしっかりした診断
2,丁寧な抜歯
3,抜歯後しっかりとした対応とお口全体のことを考えたその後フォロー
を特徴とします。
1,抜歯前のしっかりした診断
当院では下顎の神経に近い親知らずの抜歯など難しい抜歯の際には、院内のCTで撮影を行います。親知らずの根の形、下顎の神経との位置関係までを術前にきちんと把握することで、抜歯の際にかける力の方向、強さ、骨を削る部分などを予測したり、抜歯の後に起こるリスクを正確に判断することができ、より時間のかからない負担の少ない抜歯が実現できます。
2,丁寧な抜歯
院長の正元は、10年以上口腔外科で勤務していた中で大学病院や市民病院口腔外科にて、今まで4000本以上の親知らず抜歯を行ってきました。その中には他院で抜歯途中で終わってしまったもの、後輩のドクターが抜歯できなかったケース、下顎の神経と近すぎて全身麻酔下で抜歯したもの、周りの骨と癒着していて通常の方法では全く抜けなかったものなど様々な親知らずの抜歯を経験してきました。
親知らずのに関してはこういった経験から得られた技術があります。短い時間で抜歯を終わらせることは術後の腫れや痛みを軽減させる点でとても大事ですが、下顎の神経の損傷による下唇の感覚障害など術後の併発症を極力起こさないような抜歯の方がもっと大切と考えます。本当に難しい抜歯の場合、ある程度時間はかかっても、抜く方向や力をかける方向を工夫し、術後の併発症が起こらぬように丁寧な抜歯を心がけています。
口を長時間開けられなかったり、外来処置では困難な深い抜歯を行わなければならない場合は、より設備の整った病院施設をご紹介します。
3,抜歯後しっかりとした対応とお口全体のことを考えたその後フォロー
親知らずを抜く原因は親知らずがお口の一番奥に生えているためブラッシングが難しく、虫歯になったり歯ぐきに炎症が起こったりといったことがほとんどです。これはつまり、その周りの歯も同じ危険にさらされているということです。当院では抜歯後も定期的に来院していただき、抜歯した箇所のチェックを含めたメンテナンスを受けていただくことをお勧めしております。ご自宅でのケアの方法なども、ご指導させていただきます。親知らずの抜歯をきっかけに、健康な歯と歯ぐき、健康なお体で過ごされるお手伝いをさせていただければ、と思っております。
また、親知らずの抜歯後に起こる痛みや様々な併発症に対しても長年の口腔外科での勤務経験により、しっかりした説明と対応が出来ますので、安心していただければと考えています。
親知らずの診療の流れ
親知らずは位置や形がそれぞれ千差万別で、抜歯の難易度も様々です。そのため行き当たりばったりで抜歯をするのではなく、術前にしっかりと診断し説明することが我々と患者様の親知らずに対する相互理解のために大切と考えています。
そのため、当院では、難易度が低いと診断した抜歯は当日に行いますが、CTを撮影するような場合では当日の抜歯は行っておりません。ご了承下さい。
診療の流れ

初診 ⇒ 問診票の記入 ⇒ レントゲン撮影 ⇒ カウンセリング
難易度が低いと診断した場合は当日に抜歯を行います。
CT撮影が必要な複雑な親知らずの場合は撮影後再度カウンセリングを行い必要に応じて薬の処方・消毒を施し 2回目以降に抜歯を行います。
親知らずの抜歯の流れ
1,抜歯部位及びその周囲の消毒をします。
2,抜歯部位周囲に麻酔(浸潤麻酔、場合によっては伝達麻酔も併用)を行います。
3,親知らずの周りの歯ぐきに切開を行います。
4,親知らずの周りの骨を削り、歯の歯冠部分を露出させます。
5,埋伏歯の歯冠をタービンで分割し除去します。
6,残った歯根部分を抜歯します。歯根が2本以上あって大きく曲がっていたり、歯根が肥大していたり、骨と癒着していて、そのままでは抜歯できない場合は歯根を分割したり、歯根周囲の骨を削ったりして抜歯します。
7,抜歯部を生理食塩水にて入念に洗浄します。
8,切開した粘膜を縫い合わせます。骨内の血管からの主家kつが止まりにくい場合や内科治療上の内服薬などで抜歯した部分に止血剤を使用します。
9,縫合した場合は抜歯後約1週間で抜糸します。
イラストの出典「抜歯の臨床」医歯薬出版
親知らずの抜歯後について
1,抜歯後の腫れについて
抜歯後に腫れるかどうかですが、必ず腫れます。腫れは抜歯に伴う炎症によるものですが、炎症は治癒の過程の初期で必ず起こりますので、腫れは避けられません(人間が“生きている”上で生じる生理的な反応です)。親知らずの抜歯の難易度が上がれば上がるほど、腫れも大きくなる、というのが一般的です。ただし、ちょっとした工夫で腫れを抑えることはできます。
ひとつは技術的なものです。適切な力で、適切な向きに抜けば、短時間で出血も抑えて抜くことができ、腫れは抑えられます。また、切った部分を縫い合わせる方法でも少し腫れは抑えることが出来ます。
もうひとつは、抜歯前に親知らずの周囲の炎症を落ち着かせることです。感染や炎症がある状態で親知らずを抜歯をすれば、そうでない場合よりも腫れがひどく出てしまいます。親知らずに感染や炎症があるならば抜歯前に抗菌薬でそういった状態を改善させておくことが大切です。
大きく腫れてしまっては日常生活に支障が出る、などの事情がある方は、一度ご相談ください。
2,お薬について
お薬は抜歯前に抗菌薬を服用してもらい抜歯を行います。抗菌薬は抜歯後2日間、痛みどめは5日間程度処方させていただきます。痛み止めは必要がなくなった時点で服用をやめていただいて結構です。痛み、腫れがひかない場合は、追加で処方させていただきます。お薬にアレルギーがある場合は術前にご相談ください。
3,抜歯翌日~3日後まで
この間に、術後のチェックのために一度来院していただきます。
洗浄、腫れの確認、状態に応じてお薬の追加などをさせていただきます。
4,抜歯1週間~10日後
この期間に抜糸をさせていただきます。抜歯をした箇所の洗浄と、その周辺の状態を確認いたします。
5,それ以降
痛みが無くなり回復が順調であれば、普段通り生活を送っていただいて構いません。痛みがひどかったり抜歯部の回復が遅い場合は、何度か通院していただいて経過観察を行います。
皆様にお伝えしたいことですが、親知らずはお口の中の清掃状態の鏡のひとつです。親知らずに炎症が生じたことはお口の清掃状態が良くなかった場合が多く、他の歯も同じ状況に陥ってしまうことが考えられます。当院では抜歯後も定期的に来院していただき、抜歯した箇所のチェックを含めたメンテナンスを受けていただくことをお勧めしております。
当院では、定期的な口腔内チェック、ブラッシング指導、フッ素塗布、PMTCを含めた定期検診を行っておりますので、是非ご利用ください。
親知らずの抜歯の料金(3割負担の場合、初診時にパノラマX線写真行う)
初診時に診察とパノラマ撮影を行いますので
約2,100円かかります。
歯の状態で抜歯の費用が変わります
下の親知らずで、完全に横を向いていたり、骨に埋まっている歯の抜歯約4,200円
下の親知らずで、歯ぐきに半分埋まっていたり、歯ぐきから出ているが根が複雑で歯を分割したり骨を削らなければならない歯の抜歯約3,000円
上の親知らずで、骨に埋まっている歯の抜歯約3,800円
3以外の上の親知らずの抜歯約1,500円
*神経に近い親知らずや特殊なケースの場合はCT撮影を行います。CTの費用は約3,500円です。
*親知らずの抜歯は基本的に保険治療です。
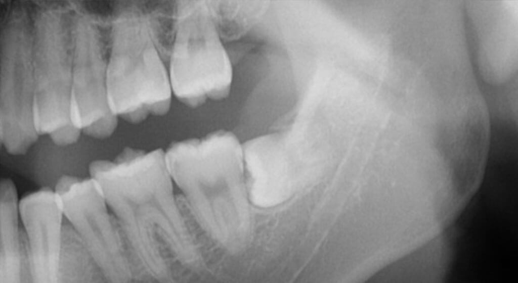
症例1 下顎の神経と左下の親知らずが近接している場合
正元のコメント
下顎の親知らずでは根の先に神経(下唇の感覚を司る神経)が近接していることがあります。通常のX線写真では根と神経の位置関係が分かりにくく、CTを撮影することで位置関係を把握することができます。この方の場合、パノラマX線写真で親知らずの根の先に神経が近かったため、CTを撮影しました。CTでも親知らずの根の先に神経が近接していました。リスクを説明した上、抜歯に同意が得られたので、CTで得た情報から神経に負担を与えないように骨を削る場所や抜く方向を工夫して抜歯しました。術後の唇の感覚障害は生じず抜歯できました。
患者さまの感想
病院の口腔外科では入院しての抜歯を説明されたので、歯科医院で抜歯できないかと色々調べてしょうげん歯科医院を受診しました。抜歯後腫れた程度で何事もなく終わり、とても満足しています。
処置時間と費用
処置時間:約45分(麻酔時間含め)
費用:約9,000円(パノラマ、CT費用含む)
リスクと副作用
術後に腫れや痛みが生じ、時に痛みがひどい場合があります。この症例の場合うまくいきましたが、神経と近接する親知らずの抜歯では術後に下唇、まれに舌の感覚障害が生じる場合があります。
症例2 極端に根が曲がっている左上の親知らずの場合
正元のコメント
上顎の親知らずは時に根の形態が複雑になっています。通常のX線写真でもおおよその根の形態は把握できますが、この方は下の親知らずが神経と近くてCTを撮影していました。CTでは思ったよりも根が曲がっており、抜歯の際に根が折れるリスク、上顎洞に穴が開くリスクを説明した上、抜歯に同意が得られたので、抜く方向を工夫して抜歯しました。根も折れず、上顎洞にも穴も開かずに抜歯できました。
患者さまの感想
親知らずが何度か痛くなったので、抜歯のため口腔外科専門医を探してしょうげん歯科医院を受診しました。上の親知らずについて、色々と説明をうけましたが、ただの抜歯でもリスクがいくつもあることを知りました。抜歯後は痛みもほとんどなく、満足しています。
処置時間と費用
処置時間:約30分(麻酔時間含め)
費用:約4,000円(パノラマ費用含む)*CTを撮影しない場合です。CTの費用は約3500円です。
リスクと副作用
術後に腫れや痛みが生じ、時に痛みがひどい場合があります。上顎の奥歯は抜歯すると抜歯した穴が顎の内部空洞(上顎洞)とつながる場合があります。根が曲がった歯は抜歯の際に根が折れて骨の中に残ってしまう場合があります。
妊娠を考えておられる方へ
妊娠中はホルモンバランスが変化して特定の細菌が増えやすくなったり、つわりなどでブラッシングがしにくくなったりして、お口の中の環境が一時的に悪化します。妊娠中の歯肉炎のことを指す「妊娠性歯肉炎」という病名があるくらいです。
親知らずはそもそも斜めに生えたりして汚れが溜まりやすく、かつ清掃しにくい状態が多いです。そのため妊娠中は特に炎症を引き起こしやすくなってしまいます。
妊娠中に親知らずが腫れてしまった場合は下記に示すような理由で妊娠後期を除いて抜歯をお勧めします。
抜歯にはX線写真撮影、局所麻酔薬、術後の抗菌薬や痛み止めが必要不可欠です。
X線写真撮影は頭部だけの照射ですので防護エプロンをして撮影すれば胎児に当たることはなく、これらの薬も通常量であれば胎児への影響はほぼない、と一般的にはいわれています。私自身も人の親であるので、医学的には胎児への影響は報告がないといっても、妊娠中の治療は親御様にとって心理的に安心できるものではないこともよくわかります。こういった状況を回避するためには妊娠前に親知らずを含めて要治療部位の治療をしっかり行っておくことがとても大切です(やっぱり予防が大切です)。
妊娠のご予定があり、親知らずのことを少しでも考えていらっしゃる方は、早期の受診、妊娠前の抜歯をお勧めいたします。
とは言っても長い妊娠期間、ずっと痛みを我慢するのはとても辛いことです。妊娠されてから親知らずが痛みだした方、気になりだした方は、一度ご相談ください。麻酔の影響、抜歯についてもより詳しくご説明させていただきます。
上述のように、妊娠時は体内のホルモンバランスが変わり、つわりや気分不良によりブラッシングが難しくなることも相まって、歯周病にかかりやすい時期です。
また、妊娠中の歯周病は、早産や低体重児出生の原因となるともいわれています。
当院では、妊娠中でも安心して治療を受けていただける体制を整えております。
妊娠中期が比較的楽に治療を受けられる時期ですが、緊急の場合は妊娠周期に関係なく診療いたします。
受診の際は、妊娠中であることを必ず、あらかじめお伝えください。
妊娠中になりやすいお口のトラブル

代表的なトラブルとして
歯肉炎、歯周炎になりやすい = 妊娠性歯肉炎
があげられます。
その他にも下記のようなトラブルが存在します。
虫歯になりやすい
口内炎になりやすい
口臭が発生しやすくなる
親知らずが炎症を起こしやすくなる
*原因:女性ホルモンの増加による歯周病原菌の増加、唾液分泌量の低下、つわりや気分不良にてブラッシングがしにくくなること
分娩と早産のメカニズム

歯肉炎や歯周炎は炎症性疾患であり、一般的に炎症が続くと炎症性サイトカインやプロスタグランジンの放出量が高まります。プロスタグランジンは陣痛促進薬の成分にも使用されている物質であり、これが慢性的に増加すると早期の子宮収縮や陣痛を誘発し、早産を引き起こしてしまいます。
(通常の妊娠ではプロスタグランジンは妊娠末期に放出され、子宮収縮・陣痛を引き起こします。)
このように、妊娠中の歯肉炎や歯周炎は早産と関係しています。
妊婦における早期低体重児出産の危険率
*歯周病は他の病気よりも大きな、早産のリスクファクターです。
妊婦様からのよくあるご質問
Q,妊娠中の歯科治療は大丈夫ですか??
A,妊娠中期(妊娠16~28週)であれば基本的に大丈夫です。
受診時の注意点
歯科治療に当たっては母子健康手帳を提示して、産婦人科医から注意を受けていることは必ず歯科医師に伝えましょう。できるだけ楽な姿勢で治療を受け、体調や気分が悪くなった時は遠慮なく申し出ましょう。
妊娠中期に必要な治療は終わらせるようにしてください。
妊娠後期になると胎児が大きくなり仰向けに寝ることが難しく(仰向けに寝ると胎児がお腹の大動脈を圧迫するので)、通常の体勢で歯科治療を行うことが難しくなります。
Q,妊娠中の歯科治療でエックス線、麻酔、お薬は大丈夫ですか?
A,基本的に大丈夫なように対応します。
エックス線撮影の胎児への影響
歯科治療で通常用いられるエックス線の放射線量はごくわずかですし、照射部位も子宮から離れているので、お腹の赤ちゃんには影響はありませんが、妊娠していることを伝えて防護用エプロンを着用するとさらに安心です。
歯科治療時の麻酔の使用
通常の歯科治療に用いられる麻酔は局所麻酔で、使用量もわずかですし、局所で分解されるため、胎児には影響ありません。痛みを我慢しての治療は、母体にも胎児にもストレスになるため、妊娠中期には適切に麻酔薬を使用し、しっかり治療した方がよいと思われます。
薬物の服用
妊娠初期はできれば薬物の服用を避けたいものですが、妊娠中期以降の歯科治療でどうしても必要な薬は、妊娠中でも安全に使用できる薬を選んで使用します。不安、心配がある場合は、歯医者さんや薬剤師さんに質問するか、産科の主治医に相談しましょう。